Smiles of Orange
Smiles of Orange
Request an Appointment
Like us on Facebook
Visit us on Yelp
Leave a Google Review
Instagram
(714) 997-5495
Menu
Call
Book Now
Map
Home
About
Our Team
Technology
Office Pictures
Services
View All
Cosmetic Dentistry
Same-Day Emergency Dentistry
Dental Implants
Invisalign Clear Braces
General Dentistry
Metal-Free Fillings
Preventive Dentistry
Sleep Apnea Treatment
Porcelain Veneers
TMJ & Bruxism Treatment
Smile Gallery
Testimonials
Patient Info
View Patient Info
Forms
Financial
FAQs
Contact
Smiles of Orange
>
Smile Gallery
>
Case 2
Case 2
Return to Smile Gallery
Previous
Next
Click image to see a larger picture
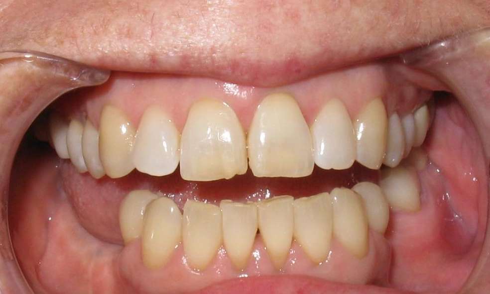
Before
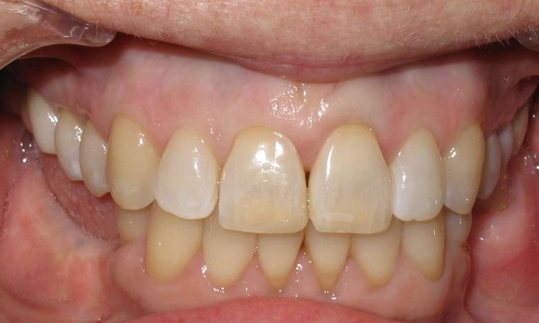
After
Have Questions? Get in Touch
Contact Us
If you have difficulty using our website, please
email us
or call us at
(714) 997-5495
View the
ADA Accessibility Statement
Turn on ADA Views
OK!
×
×
Contact Us Today
Give Us A Call
Smiles of Orange -
(714) 997-5495
Send Us an Email
Request an Appointment
Contact
Ready to Schedule an Appointment?
Request an Appointment
Have Questions? Contact Us:
Required Field
Your Name:
Phone:
Email:
Are you a new patient?:
Are you a?
New Patient
Current Patient
How would you like us to contact you?
Please choose
Email
Call
How did you hear about us?
Please choose
I'm an existing patient
Google/Bing
Mailer
Word of mouth
Social media
Other
Who Referred You?:
Appointment Preferences
Monday
Tuesday
Wednesday
Thursday
Your Message:
This site is protected by reCAPTCHA and the Google
Privacy Policy
and
Terms of Service
apply.
Sending...
×
This Patient's Experience
Loading Testimonial...
Loading Case...