Smiles of Orange

Smile Gallery

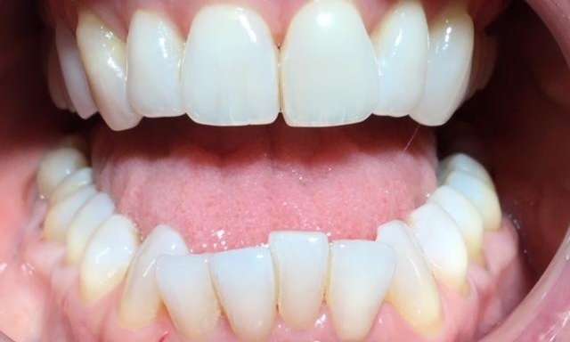
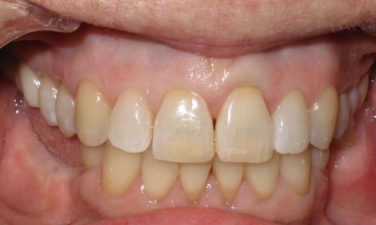
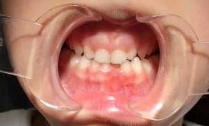
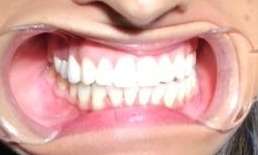
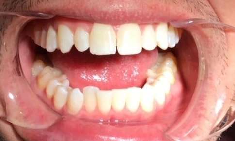
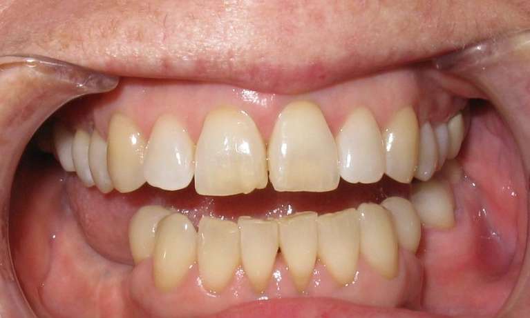
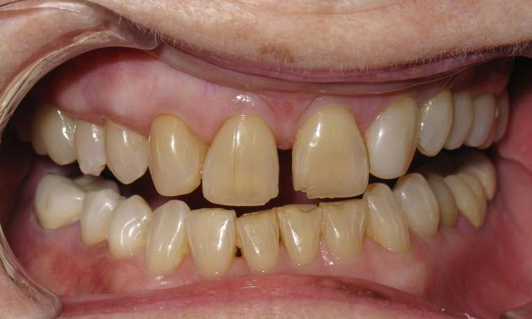
Take a look at some of the smile transformations we have created for our patients!

Have Questions? Get in Touch
Smile Gallery Categories
Our Testimonials

If you have difficulty using our website, please email us or call us at (714) 997-5495
View the ADA Accessibility Statement